CARILLAS DENTALES
Las carillas dentales son unas láminas pequeñas y por lo general muy finas, que se fabrican en distintos materiales como la porcelana o el composite; y que se adhieren en la parte externa de los dientes mediante un cemento o resina especial.
Especializados en carillas dentales mínimamente invasivas
Trabajamos con diferentes tipos de carillas dentales, cada una con sus particularidades dependiendo del tratamiento a realizar.
Las carillas son láminas muy finas, de aproximadamente 0.3 a 1 mm.,
– Carillas de porcelana: son las más usadas ya que mejoran el aspecto, la estética y la función dental. Están fabricadas a partir de ceramica/porcelana por un protésico experto en estética dental. Su duración en mayor, unos 10 a 15 años y son muy resistentes. Su coste es más elevado.
– Carillas de composite: estas carillas están hechas a partir de un material compuesto. El tratamiento es realizado en una o dos visitas sobre el diente del paciente. Son menos resistentes y suelen durar de 5 a 8 años.



Carillas de cerámica
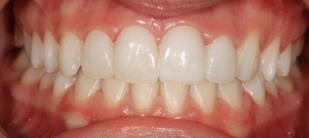
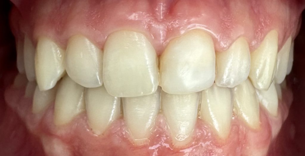
Las carillas cerámicas son finas láminas de porcelana de larga duración que cubren toda la cara frontal del diente para darle un mejor aspecto estético y funcional.
Lo mas importante a tener en cuenta es que nuestras carillas, se mimetizan e integran de forma espectacular con el resto de los dientes en casos de 1, 2, 4, 6 carillas o rejuveneciendo la sonrisa por completo con 10 ó 20 piezas dentales, dando lugar a una estética natural o articial, según el objetivo del paciente.
En RC Clínica Dental Avanzada dependiendo de las necesidades estéticas del caso a tratar utilizamos diferentes tipos de cerámicas trabajando codo con codo con uno de los mejores laboratorios de España; disilicado de litio E-MAX, cerámica EMPRESS, porcelana feldespática, lumineers, daVinci, etc. Cada caso hay que estudiarlo e individualizarlo.
Carillas de composite
Las carillas de composite se caracterizan por realizarse directamente en la misma boca del paciente, sin tener que mandar ningún tipo de medida al laboratorio.
Estas se emplean para solucionar problemas dentales que otras técnicas como el blanqueamiento dental o la ortodoncia convencional o invisible no pueden solucionar, .
Se trata de una técnica indolora y en la mayoría de los casos no invasiva, sin tallar el diente. Puede realizarse en una o dos sesiones dependiendo de la complejidad. Sesiones que transformarán tu sonrisa dañada en otra sonrisa que enamora y que no te dará vergüenza enseñar.
El tratamiento con carillas de composite suelen aplicarse en la parte frontal de los incisivos centrales, laterales, caninos y premolares. El resultado salta a la vista.

Preguntas frecuentes sobre las carillas dentales
El precio de la carilla dental dependerá del tipo, cantidad de ellas que se requiera, material o el laboratorio protésico y profesional que las fabrique. El rango de precios oscila entre pieza desde los 160€ en composite y los 350€ en cerámicas unitarias. Se realizará una valoración para el caso concreto, no todas las carillas son para todos los pacientes, ni todos los pacientes son candidatos de carillas dentales.osteriormente a una valoración se entrega un presupuesto detallado.
Ofrecemos una gama de opciones de tratamiento personalizado, que pueden incluir desde una sola carilla hasta la colocación de 20 carillas en algunos casos.
La durabilidad de las carillas de porcelana es mayor (9 a 15 años), no se tiñen con el paso del tiempo a diferencia del composite, y tienen más resistencia a la fractura. Las carillas de composite ( 5 a 7 años) no están indicadas en pacientes fumadores o habituados al café o bebidas que tiñan el diente y el material restaurador.
Independientemente del material la duracion del conjunto de tratamiento con carillas varía considerablemente dependiendo del cuidado y mantenimiento entre otros factores como dieta, higiene o hábitos de cada paciente.
Tener una boca sana y una sonrisa bonita debe estar al alcance de todos
Éste es uno de nuestros principios, hacer que la salud bucodental sea un servicio accesible al alcance de todos. En RC Clínica Dental Avanzada trabajamos para que esto sea posible, acercando a nuestros usuarios tratamientos de calidad y opciones de financiación a medida. Ya no hay excusas, contacta hoy mismo para ayudarte a conseguir una boca sana y ¡sonríe!.